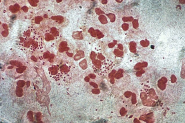
Primi casi di “super gonorrea” rilevati negli USA: il ceppo resiste a cinque antibiotici Ultimissime News, salute, Scienze 23 Gennaio 2023 Due casi di super gonorrea resistente a cinque famiglie di antibiotici sono stati rilevati negli USA. Esperti preoccupati dalla diffusione della malattia sessualmente trasmissibile.Continua a leggere